盘梗霉属 (Bremia)
形态特征:孢囊梗二叉状锐角分枝,末端膨大呈盘状。代表性病害:菊科植物莴苣霜霉病。
阅读(966)

植物病原自主诊断学习系统形态特征:孢囊梗二叉状锐角分枝,末端膨大呈盘状。代表性病害:菊科植物莴苣霜霉病。
阅读(966)
番茄白粉病及相关症状
阅读(908)
小麦叶枯病及相关症状
阅读(908)
小麦赤霉病及相关症状
阅读(855)
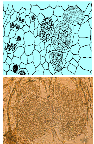
小麦散黑穗及相关症状
阅读(976)
形态特征:初生分生孢子无色单胞;成熟分生孢子深褐色或黑色双胞的。代表性病害:玉米干腐病、棉铃黑果病
阅读(1054)
p形态特征:分生孢子双胞无色,卵圆形至圆筒形,大小不等。p代表性病害:白头翁叶斑病、棉花茎枯病
阅读(830)
形态特征:分生孢子针形、线形或细长筒形,多胞,无色。 代表性病害:番茄斑枯病、芹菜叶斑病
阅读(582)
形态特征:分生孢子器着生在瘤状子座组织中,不规则地分为数室;分生孢子梗细,不分枝;分生孢子香蕉形或腊肠形。 代表性病害:苹果树腐烂病
阅读(585)
形态特征:分生孢子器内甲型孢子卵圆形至纺锤形,单胞,能萌发;乙型孢子钩形,不能萌发。 代表性病害:茄子褐纹病
阅读(796)
一周热门排行
阅读 (1230)
1胶锈菌属 Gymnosporangium阅读 (1085)
2厚垣孢子 (Chlamydospore)阅读 (1056)
3轮枝孢属 Verticillium阅读 (1054)
4色二孢属 Diplodia阅读 (1039)
5大豆叶部、茎部和根部病害